白い色ムラを削らずに改善。ホワイトスポットはIcon治療で解決。
歯のホワイトニングをしたいけれど、歯の表面に白いシミや色ムラが気になる…そんなお悩みをお持ちの方へ。広島市安佐南区祇園の安佐祇園デンタルクリニックでは、削ることなく歯のホワイトスポットを改善できる画期的な治療法「Icon治療」をご提供しています。
今回は、ホワイトスポットの原因や、Icon治療の仕組み、そしてその効果について、患者さんにも分かりやすくご紹介いたします。
ホワイトスポットとは?
まず、ホワイトスポット(白い斑点)は、歯の表面に現れる白いシミのことを指します。これは、歯のエナメル質(歯の表面の硬い部分)が、何らかの原因で弱くなったり、ミネラルが不足することによって起こります。主な原因としては、虫歯の初期症状、歯磨き不足、または矯正治療中にブラケットと歯の間に汚れが溜まったことなどがあります。
ホワイトスポットがあると、歯が均一に白く見えず、見た目に違和感を感じてしまうことが多いですよね。
Icon治療とは?
「Icon治療」は、ホワイトスポットを削ることなく、歯のエナメル質に特殊な薬剤を浸透させて、歯を元の美しい状態に戻す治療法です。この治療は、ホワイトスポットの色ムラを均一に整えるため、削ることなく痛みもほとんどありません。患者さんにとっては、歯の表面に負担をかけずに美しい歯を取り戻せる、非常に優れた治療法と言えます。
Icon治療の流れ
診断・クリーニング
初めに、歯科医師がホワイトスポットの状態を確認します。必要に応じて歯のクリーニングを行い、歯の表面を清潔にします。
薬剤の塗布
次に、ホワイトスポット部分に専用の薬剤を塗り込み、しっかりと浸透させます。この薬剤が歯のエナメル質に働きかけ、色ムラを改善する役割を果たします。
仕上げ
最後に、薬剤を固め、歯の表面を滑らかに仕上げます。治療後は、ホワイトスポットが目立たなくなり、歯全体が美しい印象になります。
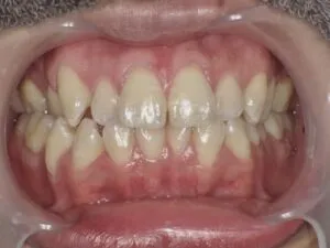
<before>

<after>

Icon治療のメリット
痛みが少ない
歯を削ることなく、薬剤を使って改善するため、治療中の痛みや不快感がほとんどありません。麻酔も不要です。
短時間で効果が実感できる
治療は1回の通院で完了することが多く、短期間でホワイトスポットの改善が見込めます。
自然な仕上がり
歯の色ムラが均一になり、自然な白さを取り戻せます。ホワイトニングのように白すぎる印象にならず、ナチュラルな美しい歯に仕上がります。
安全性が高い
特殊な薬剤を使用しますが、非常に安全性が高く、歯や歯茎への負担も少ない治療です。
祇園エリアの皆さまへ
広島市安佐南区の安佐祇園デンタルクリニックでは、最新の治療法を取り入れ、患者さん一人ひとりに合った丁寧な治療を行っています。ホワイトスポットの改善を希望される方はもちろん、歯のホワイトニングに関するご質問もお気軽にご相談ください。
また、Icon治療は特に矯正後の患者さんにおすすめです。矯正装置を外した後、歯に残るホワイトスポットが気になることがよくありますが、この治療で気になる部分を目立たなくすることができます。
まとめ
ホワイトスポットが気になる方におすすめしたいのが、Icon治療です。削ることなく色ムラを改善でき、短期間で自然な美しい歯を取り戻すことができます。広島市祇園の安佐祇園デンタルクリニックでは、この治療を安心して受けていただけますので、お気軽にご相談ください。
質問やお悩みは安佐祇園デンタルクリニックまでお気軽にどうぞ!
また、Instagramでは医院の様子を投稿しています。ぜひご覧ください📸👇
安佐祇園デンタルクリニック Instagram


